
مشکلاتی که نیاز به ارتودنسی را ضروری میکنند
در ادامه این مقاله با هم میبینیم که ارتودنسی برای چه کسانی است و چه زمانی باید برای مشورت با یک متخصص ارتودنسی اقدام کرد.
به گزارش اقتصادایران، ارتودنسی دندان یکی از روشهای تخصصی برای اصلاح ناهنجاریهای دندانی و فکی مانند کجی دندانها، ناهماهنگی فک و فاصلههای غیرطبیعی بین دندانها میباشد. این درمان نهتنها ظاهر لبخند شما را زیباتر میکند، بلکه باعث راحتی در جویدن، پیشگیری از پوسیدگی و حفظ سلامت دهان و دندان نیز میشود.
اما سوال مهم این است که ارتودنسی دندان برای چه کسانی است؟ برخی تصور میکنند فقط مشکلات شدید دندانی نیاز به درمان دارد، در حالیکه حتی ناهنجاریهای به ظاهر خفیف هم در بلندمدت مشکلساز میشود. در ادامه این مقاله با هم میبینیم که ارتودنسی برای چه کسانی است و چه زمانی باید برای مشورت با یک متخصص ارتودنسی اقدام کرد.
مشکلاتی که نیاز به ارتودنسی را ضروری میکنند
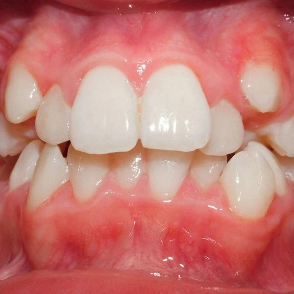
بههمریختگی یا فاصلهدار بودن دندانها، علاوه بر کاهش اعتمادبهنفس، باعث دشواری در تمیز کردن دندانها و حفظ بهداشت دهان شده و خطر پوسیدگی و بیماری لثه را افزایش میدهد. تشخیص و درمان بهموقع این مشکلات، مانع پیشرفت ناهنجاری و بروز عوارض جدیتر میشود.

اگر برایتان سوال شده است که، ارتودنسی دندان برای چه کسانی است؟ باید گفت برخی از مشکلاتی که درمان ارتودنسی را ضروری میسازند عبارتاند:
- بهمریختگی شدید دندانها (Crowding)
- فاصله غیرطبیعی میان دندانها (Spacing)
- مشکلات شدید فکی و مالاکلوژن (Misalignment)
- اختلال در جویدن و تکلم
چه افرادی کاندیدای اصلی ارتودنسی هستند؟
تشخیص اینکه ارتودنسی دندان برای چه کسانی است، همیشه آسان نیست، چون برخی از مشکلات دندانی در ظاهر مشخص نیستند و فقط یک بررسی تخصصی میزان نیاز به درمان را مشخص میکند. اما به طور کلی، گروههایی وجود دارند که بیشتر از دیگران در معرض نیاز به ارتودنسی هستند:
- کودکان و نوجوانان در سن رشد:این گروه سنی به دلیل انعطافپذیری بالای استخوانهای فک و در حال رشد بودن ساختار دهان و دندانشان، بهترین زمان برای شروع درمان ارتودنسی را دارند.
- بزرگسالانی که در کودکی درمان نشدهاند:برخی افراد با وجود نیاز به ارتودنسی در دوران کودکی، به هر دلیل درمان را آغاز نکردهاند و اکنون در بزرگسالی با مشکلاتی مانند کجی دندانها، فشردگی یا ناهماهنگی فک مواجه هستند.
- افرادی که بهتازگی مشکلات فکی و دندانی در آنها ایجاد شده:در برخی موارد مشکلات فک یا دندان در اثر آسیب و عادات اشتباه مانند دندانقروچه یا رشد نامنظم دندان عقل بروز پیدا میکند.
توجه داشته باشید که تشخیص دقیق نیاز به درمان، تنها از طریق معاینه تخصصی ممکن است. مراجعه به یک متخصص ارتودنسی این امکان را فراهم میکند که وضعیت دندانها و فک بهطور کامل بررسی شود و مناسبترین روش درمانی برای اصلاح ناهنجاریها انتخاب گردد.
آیا ارتودنسی فقط جنبه زیبایی دارد؟
ارتودنسی به اصلاح ناهماهنگیهای دندانی و فکی کمک میکند و در نتیجه، جویدن و گوارش غذا را بهبود میبخشد. همچنین بسیاری از مشکلات تلفظی و گفتاری که ناشی از چینش نادرست دندانها هستند، با ارتودنسی اصلاح میشوند.
این درمان حتی در پیشگیری از پوسیدگیهای مکرر و بیماریهای لثه نیز مؤثر است، چون وقتی دندانها در جای درست خود قرار بگیرند، رعایت بهداشت دهان نیز بهتر انجام میشود.
هزینه ارتودنسی چقدر است؟
باید بدانید که قیمت ارتودنسی عدد ثابتی نیست و به عوامل متعددی بستگی دارد. مهمترین عوامل تأثیرگذار بر هزینه ارتودنسی عبارتند از:
- نوع و شدت مشکل دندانی:هرچه ناهنجاری شدیدتر باشد، به درمان طولانیتر و پیچیدهتری نیاز دارد که طبیعتاً هزینه بیشتری را هم در پی خواهد داشت.
- مدت زمان مورد نیاز برای درمان:درمانهای کوتاهمدت هزینه کمتری نسبت به درمانهای طولانیمدت دارند. مدت درمان معمولاً بین ۱۲ تا ۲۴ ماه متغیر است. اما در موارد خاص ممکن است طولانیتر نیز شود.
- روش انتخابی برای ارتودنسی:نوع براکت یا تکنیکی که برای ارتودنسی انتخاب میکنید تأثیر زیادی روی قیمت دارد. برای مثال، براکتهای فلزی معمولاً ارزانتر هستند، در حالیکه روشهای مدرنتر مانند ارتودنسی نامرئی (اینویزیلاین) یا سرامیکی هزینه بیشتری به همراه دارند.
برای برآورد دقیق هزینه، لازم است ابتدا دهان و دندان شما توسط یک متخصص ارتودنسی بررسی شود. اگر میخواهید بدانید قیمت ارتودنسی دقیقاً چقدر است، مشاوره تخصصی بهترین راهکار است.

یک معرفی کوتاه از ارتودنسی نامرئی (شفاف)
ارتودنسی نامرئی یا همان Invisalign یکی از محبوبترین روشهای اصلاح ناهنجاریهای دندانی است که بهجای براکتهای فلزی، از پلاکهای شفاف و متحرک استفاده میکند. این پلاکها تقریباً دیده نمیشوند و برای افرادی که ظاهر لبخندشان در طول درمان برایشان اهمیت دارد، بهترین گزینه است.
البته ارتودنسی نامرئی برای همه مناسب نیست و اثربخشی آن بستگی به شدت ناهنجاری دندانی دارد. اگر میخواهید با انواع روشهای درمان ارتودنسی و جزئیات بیشتر آن آشنا شوید، پیشنهاد میکنیم صفحه ارتودنسی در سایت دکتر قریشی را مطالعه کنید.
آیا شما به ارتودنسی دندان احتیاج دارید؟
همانطور که در این مطلب دیدیم، ارتودنسی برای نوجوانان و کودکانی است که در سن رشد قرار دارند، بزرگسالانی که درمان آنها به تعویق افتاده و یا افرادی که به تازگی دچار مشکلات فکی و دندانی شدهاند. ارتودنسی تنها یک درمان زیبایی نیست، بلکه یک راه حل دائمی برای تمام بهم ریختگی های دندانی و یا ناهنجاری های فکی است.
اگر با ناهماهنگی دندانها، مشکلات فکی یا اختلال در جویدن روبهرو هستید، اکنون بهترین زمان برای مشاوره با یک دکتر ارتودنسی مجرب است. دکتر سعید قریشی به عنوان یکی از بهترین متخصص های ارتودنسی در تهران با بیش از ۲۰ سال سابقه درمان و دارای بورد تخصصی ارتودنسی از کانادا، در سه مرکز درمانی ارتودنسی در غرب تهران (سعادت آباد)، شرق تهران (تهرانپارس) و مرکز تهران (نواب) حضور دارند.
آیا شما هم به درمان ارتودنسی احتیاج دارید؟ یا تا به حال سابقه استفاده از بریس های ارتودنسی را داشته اید؟ تجربه خود را در مورد ارتودنسی برای ما بنویسید.



